杭州职工疗休养政策调整 经费标准提高新增多条线路
半年瘦了30斤怎么做到的 浙大骨科专家称坚持自己做饭
杭州72岁大爷急性心梗 心跳骤停20分钟最终死里逃生
又是喂水又是照顾一晚 杭州文晖的民警比春风还温暖
杭州一些公司兴起团宠文化 据说和宠物一起工作能解压
春节结束后的第一天 杭州最忙的地方可能就是医院了
6岁男童在杭徽高速服务区昏迷 杭州高速交警紧急护送
浙大一院实测18款当红饮料 全是糖分
为追根溯源,王阶教授详谈普洱茶的内涵与外延
是医生又是患者 骨科专家教你赶走腰椎病
浙江人冬季进补适合吃的原来是它 如何选购有提醒
越是甜过初恋越要警惕 浙江男子因半个西瓜紧急寻医
浙江两位低头族长期玩手机用电脑 脑子居然漏水了
管不住嘴 杭州中年男子贴秋膘上瘾结果躺上了手术台
美白祛斑 多按摩“三穴”
频用收敛水 为啥损害皮肤
新研究称不同人种皮肤变老模式有差异
经期 更年期防止粉刺的6个小妙招
专家告诉你护肤品最多涂几层
眼妆虽美 小心伤眼
防晒霜可致血液中化学成分超标
浙江首家饮片追溯系统首发 传统中药厂插上数字化翅膀
浙江造血干细胞捐献突破600例 入库志愿者已达9万余人
向全国伸出橄榄枝 杭州滨江成立科技治水联盟
杭州市七医院一项新技术 用VR技术治疗滥用药物等问题
在线取号 义乌市中心医院让市民告别不必要的排队
探访浙大医学院中国人脑库 解开阿尔茨海默病的谜底
浙江省最大中医药博物馆20日开馆 免费向公众开放
浙江5岁双胞胎吃蚕豆后酱油尿 这种遗传病千万别忽视
杭州10岁女孩患上罕见病 经历5次大手术吃不起药
杭州学生健康监测结果公布 健康饮食需记牢52110
浙江湖州防溺水宣传进校园 撑起学生安全教育保护伞
6年级男孩头发秃顶严重 医生说压力大是很重要原因
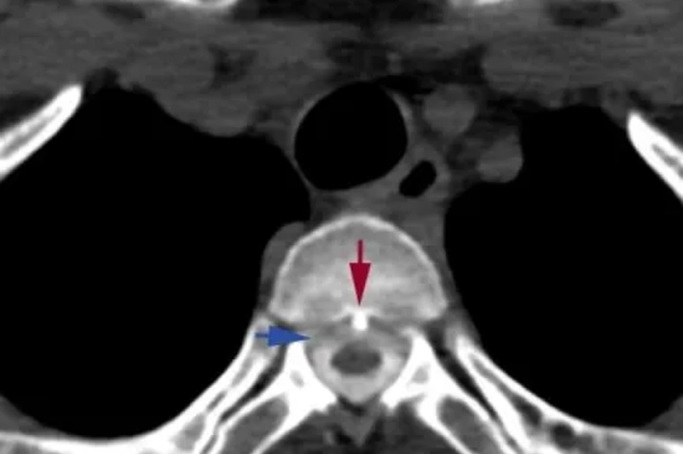
发育快的姑娘要当心 浙12岁姑娘高164查出脊柱侧弯
腹痛三天才就诊 胎儿险些不保
新浪公益
大眼睛基金
都市快报快公益
阿里巴巴天天正能量
浙江青基会
微笑明天慈善基金会
公羊会
浙江省妇女联合会